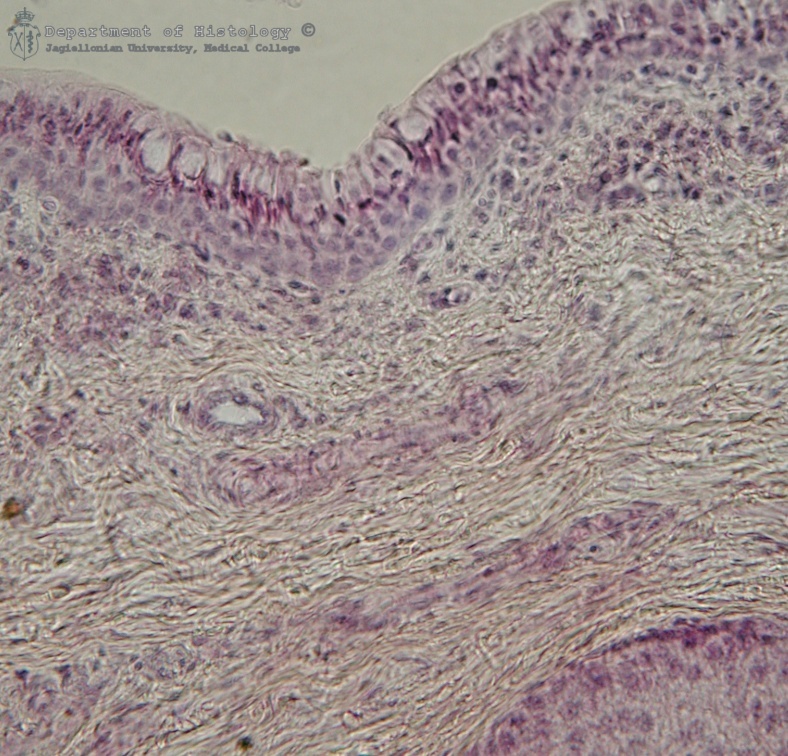
11. Spojówka powiekowa
    Eyelid conjunctiva

Wstecz
Back