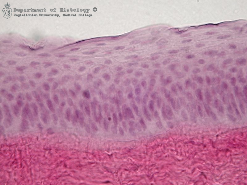
2. Rogówka
    Cornea


Nabłonek rogówki
Corneal epithelium

Wstecz
Back