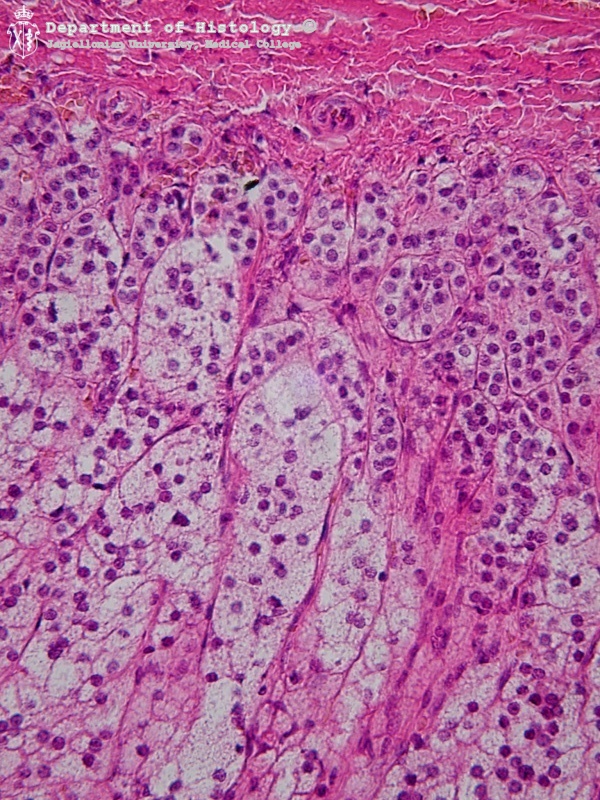
6. Warstwa kłębkowata i pasmowata kory nadnerczy
    Zona glomerulosa and zona fasciculata of the adrenal cortex

Wstecz
Back